- Eyelid Surgery
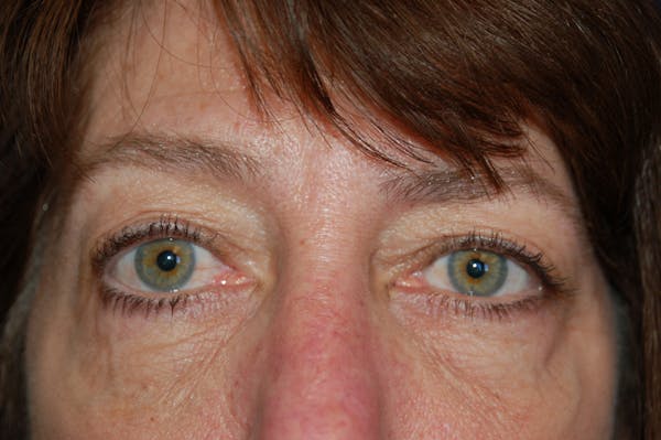
Upper and lower bleph, direct brow lift, periorbital peel, age 59.
« Previous
Next »



